
Adult Open Bite — Causes, Treatment & Results in Kissimmee, FL
An open bite means your upper and lower front teeth don’t touch when you close. You may feel like you can chew only on the back teeth, foods are hard to “pinch” with the front teeth, or speech sounds slightly airy. The good news: most adult open bites can be closed predictably with the right diagnosis and a clear step-by-step plan.
Why an open bite happens
- Habit & tongue posture: long-standing tongue thrust or the tongue resting between the front teeth.
- Skeletal pattern: vertical growth pattern or a narrow upper jaw.
- Dental factors: missing teeth, past extractions, uneven tooth wear or enamel chipping, previous relapse.
- Airway& mouth breathing: chronic nasal issues can influence tongue posture and jaw position.
At your consult we’ll review photos, 3D scans, and bite records to pinpoint dental vs. skeletal causes. Getting the “why” right is what makes treatment efficient.
How we treat adult open bite
Non-surgical options (most cases):
- Clear aligners (Invisalign®) with small tooth-colored attachments and elastics to guide vertical closure.
- Self-ligating braces using light, continuous forces and elastics for precise vertical control.
- Adjuncts when needed: selective IPR (slenderizing), bite turbos to help the front teeth meet, and enamel re-contouring for chipped edges.
Extra control without surgery (case-by-case):
- TADs (mini-screws) provide additional anchorage to intrude back teeth or assist vertical movements. TADs are tiny, well-tolerated, and often help avoid jaw surgery in tougher open bites.
Surgical pathway (severe skeletal cases):
- For true skeletal open bite, we coordinate orthognathic surgery with an oral & maxillofacial surgeon. Orthodontics aligns the teeth; surgery corrects jaw relationships; finishing orthodontics details the bite.
Comfort & day-to-day:
Most patients describe mild pressure for 1–2 days after a new aligner or wire change. You’ll eat, speak, and work normally; we tailor visits around your schedule and can offer virtual progress checks when appropriate.
Timeline, cost & insurance
Many adult open-bite cases complete in 9–18 months; complex bites can take longer. At your consultation you’ll receive a written plan, exact timeline, and transparent fee.
- Flexible monthly plans available
- Most orthodontic insurance accepted; HSA/FSA eligible
- Fee includes records, visits, and your first set of retainers
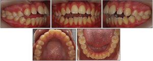
What results look like (real-world examples)
- Example 1 — Clear aligners:“My front teeth never touched. We used Invisalign®, small attachments, and night-time elastics. The gap closed in ~10 months and I could finally bite through foods with the front teeth.”
- Example 2 — Braces + elastics:“I could chew only on the molars. Self-ligating braces with light vertical elastics brought the fronts together in about 14 months; sensitivity from edge wear improved.”
- Example 3 — TADs for control:“My bite kept reopening. Two tiny mini-screws gave extra vertical control so closure held; we finished on schedule and moved to retainers.”
- Example 4 — Surgical case:“Mine was skeletal. We aligned first, had jaw surgery, then finished detailing. The final bite meets evenly, and my speech sounds clearer.”
Why choose Kendrick Orthodontics
- Board-certified orthodontist: Dr. James Kendrick is a board-certified specialist focused on adult bite correction.
- Experience you can feel: trusted by 35,000+ Central Florida smiles.
- Digital precision: 3D scans, clear treatment staging, photos at each visit to track progress.
- Predictable mechanics: aligners or self-ligating braces, thoughtfully planned elastics, and TADs when they add efficiency.
- Respect for your time: straightforward explanations, flexible scheduling, and clear fees—no surprises.
Talk with Dr. Kendrick today — (407) 870-9848. See your 3D plan, timeline, and exact fee at the visit.
Retainers & long-term stability
When an open bite closes, the teeth and soft tissues need time to adapt. Clear retainers hold the bite while bone remodels; in some cases we’ll recommend a short period of slightly increased wear for the front teeth to “train” the bite to touch consistently. We’ll give you a simple wear plan and show you how to keep retainers fresh and clear. For patients with heavy edge wear, we may coordinate with your dentist for bonding or enamel smoothing to protect the new bite.
Who’s a good candidate for non-surgical treatment?
- Open bite that is primarily dental (not severe skeletal)
- Good periodontal health and realistic expectations
- Willingness to wear elastics as prescribed (key to vertical closure)
- Consistent aligner wear (20–22 hours/day) or comfort with 24/7 braces
If your pattern is truly skeletal, we’ll show you both non-surgical limitations and the surgical pathway so you can decide with full information.

Care tips during treatment
- Elastics: wear exactly as instructed; consistency matters more than force.
- Speech: expect brief adaptation; reading aloud helps.
- Eating & cleaning: with aligners, remove to eat and brush; with braces, avoid very hard/sticky foods and use an interdental brush around brackets.
- If an aligner cracks or a hook bends: call us; we’ll advise whether to step back one set, replace, or move forward.
FAQ
Can Invisalign® fix an adult open bite?
Often yes—paired with attachments and elastics; TADs may help in tougher cases.
Will I need surgery?
Only in severe skeletal patterns. Many adults close an open bite without surgery.
How long will it take?
About 9–18 months for many cases; depends on complexity and elastic wear.
Will it stay closed?
With the right mechanics and retainers, results are designed for long-term stability.
“Schedule your consultation today”
(407) 870-9848. We’ll make it simple.
















